Od. García, ¿cómo fueron los inicios en su profesión?
Me recibí y me fui un año a Canadá y Estados Unidos a capacitarme. Volví y concursé en la cátedra de Operatoria Dental de la Universidad Nacional de La plata, donde ejercí como docente al mismo tiempo que seguía capacitándome en otras ramas de la profesión. Actualmente me sigo formando y capacitando con colegas.
¿Cuáles son los servicios que brindas a tus pacientes?
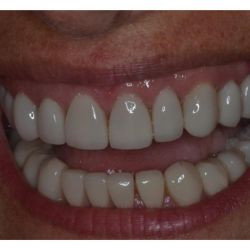
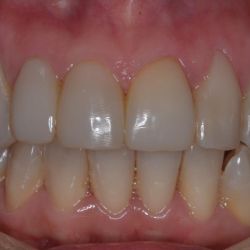
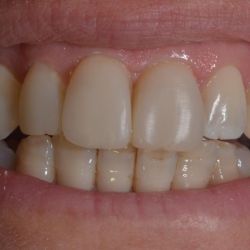
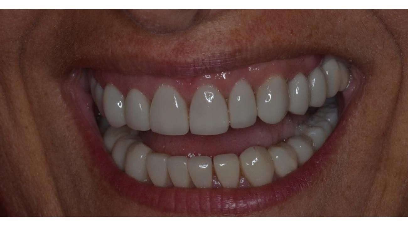
Practico la Odontología Biológica, eso quiere decir que hago Rehabilitación Oral Integral, le devuelvo a las personas que lo necesiten Salud, Función y Estética cuidando al máximo el patrimonio biológico del individuo y utilizando los materiales de máximo nivel de biocompatibilidad y con el menor impacto ambiental posible.
¿Cómo te proyectas de cara al futuro?
Transmitiendo la filosofía SAFE en todo el país y la región para que más pacientes se beneficien con la práctica de una odontología respetuosa, mínimamente invasiva y sostenible.
¿Cuáles son tus diferenciales en el rubro?
La metodología de abordar el caso y la filosofía del tratamiento que ofrecemos.
El método SAFE (Salud Avanzada en Función y Estética) comienza a cuidar del paciente antes que decida atenderse con nosotros, desde la historia clínica a la propuesta de tratamiento, todo tiene un hilo conductivo pensado para brindar seguridad al paciente y al profesional que lo trata, establece un marco de gran confianza y un compromiso absoluto con el proceso y el resultado.
Si comenzaras de nuevo, ¿qué harías diferente?
No podría imaginarme hacer las cosas diferente, el camino recorrido con aciertos y errores es lo que me llevo a desarrollar un método, un protocolo y una filosofía de trabajo que contempla el bienestar del binomio paciente-profesional para que ambos transiten el proceso de salud y lleguen satisfechos al final del mismo.
por CEDOC















Comentarios